台湾歯科学生技能コンテストで歯学部歯学科6年生が準優勝
~個人戦で準優勝、団体戦で3位~
Sixth-year TMDU Dental students ranked well in the Dental Student Simulator Contest 2016 - 2nd in the individual, and 3rd in the team competition -
平成28年9月2日中華牙醫學會(Association for Dental Sciences of the Republic of China)主催、2016年台湾全国歯科学生技能コンテスト(Dental Student Simulator Contest 2016)が国立台湾大学歯学部(台北市)に於いて開催され、招待参加した本学歯学部歯学科6年生3名が優秀な成績を収めました。
本コンテストは、台湾で年1回開催され、台湾にある7大学から代表学生(各大学から3名)が集い、マネキンに装着した人工歯模型上で保存修復治療・補綴治療の技能が競われます。海外からは唯一、本学学生が招待され、今回は2年ぶり5回目の参加となりました。
本学に招待状が中華牙醫學會から7月下旬に届き、歯学科教育委員会によって井神優太君、小湊広美さん、山本真央さんの3名が8月1日に本学代表として選ばれました。コンテストまでの準備期間は決して十分とは言えませんでしたが、夏休み返上のトレーニングが行われ、う蝕制御学分野(田上順次教授)から大槻昌幸准教授、井上剛助教、保坂啓一助教、摂食機能保存学分野(三浦宏之教授)から吉田惠一准教授、大森哲助教が指導にあたりました。3名の学生たちは、練習環境が整備されたスキルスラボ(1号館)での自主トレーニングにも励みました。
本学代表学生3名は、審査員として参加の教員2名(大森助教、保坂助教)とともに、コンテスト前日の9月1日に台北入りし、国立台湾大学江俊斌歯学部長を表敬訪問後、同大学の試験会場の下見を行いました。翌日9月2日、昼休みを挟んで6時間にわたる、保存修復治療、補綴治療の実技試験に臨みました。コンテストの課題は、保存修復治療の部でアマルガム修復とコンポジットレジン修復、補綴治療の部で前歯のブリッジ形成およびテンポラリーブリッジの製作でした。
本学を含め8大学16名の教員により厳正なる審査の結果、保存の部で、山本真央さんが準優勝、井神優太くんが4位、補綴の部で、小湊広美さんが6位との結果が、試験後発表されました。個人戦の点数を合計した団体戦でも、東京医科歯科大学は、保存の部、総合(保存・補綴の合計)でそれぞれ3位となり、個人戦で好成績を収めた山本真央さんとともに表彰を受けました。参加学生たちは、日ごろ使っているものとは違う不慣れな器具を使うなどアウェイの環境の中、様々な緊張感やプレッシャーをはねのけ、それぞれが実力を発揮しました。 コンテスト終了後には、日台の学生がお互いの健闘を称え合い、学生どうしの交流が行われました。
本コンテストを通じて得られた様々な経験は、参加した学生にとって非常に貴重な財産となったようです。彼らは今後の臨床実習や講義に積極的な姿勢で参加し、同級生たちにもよい影響を与えてくれることでしょう。今回の経験を活かし、将来、国際的な歯科医療人として大いに活躍してほしいと思います。
今回のコンテストにあたり、歯学教育開発学分野の關奈央子助教、2年前に同じく派遣され、現在研修歯科医として頑張っている木村綾君、副田弓夏さん、高田嘉宝さんも、技術指導やアドバイスをしてくれました。現地では、本学大学院う蝕制御学分野を修了後台湾で活躍されている坂野若詠先生、短期海外研究員として同じく同分野に滞在していた国立台湾大学教員の蔡宜玲先生がお世話をしてくれました。今回の好成績は、たくさんの方のあたたかいサポートによるものでもあります。最後に、本コンテスト参加に大変な多くのご支援とご協力をいただきました田上順次副学長、森山啓司歯学部長、荒木孝二副歯学部長、泰羅雅登歯学科教育委員長、歯学教育開発学分野森尾郁子教授に感謝申し上げます。
平成28年9月2日中華牙醫學會(Association for Dental Sciences of the Republic of China)主催、2016年台湾全国歯科学生技能コンテスト(Dental Student Simulator Contest 2016)が国立台湾大学歯学部(台北市)に於いて開催され、招待参加した本学歯学部歯学科6年生3名が優秀な成績を収めました。
本コンテストは、台湾で年1回開催され、台湾にある7大学から代表学生(各大学から3名)が集い、マネキンに装着した人工歯模型上で保存修復治療・補綴治療の技能が競われます。海外からは唯一、本学学生が招待され、今回は2年ぶり5回目の参加となりました。
本学に招待状が中華牙醫學會から7月下旬に届き、歯学科教育委員会によって井神優太君、小湊広美さん、山本真央さんの3名が8月1日に本学代表として選ばれました。コンテストまでの準備期間は決して十分とは言えませんでしたが、夏休み返上のトレーニングが行われ、う蝕制御学分野(田上順次教授)から大槻昌幸准教授、井上剛助教、保坂啓一助教、摂食機能保存学分野(三浦宏之教授)から吉田惠一准教授、大森哲助教が指導にあたりました。3名の学生たちは、練習環境が整備されたスキルスラボ(1号館)での自主トレーニングにも励みました。
本学代表学生3名は、審査員として参加の教員2名(大森助教、保坂助教)とともに、コンテスト前日の9月1日に台北入りし、国立台湾大学江俊斌歯学部長を表敬訪問後、同大学の試験会場の下見を行いました。翌日9月2日、昼休みを挟んで6時間にわたる、保存修復治療、補綴治療の実技試験に臨みました。コンテストの課題は、保存修復治療の部でアマルガム修復とコンポジットレジン修復、補綴治療の部で前歯のブリッジ形成およびテンポラリーブリッジの製作でした。
本学を含め8大学16名の教員により厳正なる審査の結果、保存の部で、山本真央さんが準優勝、井神優太くんが4位、補綴の部で、小湊広美さんが6位との結果が、試験後発表されました。個人戦の点数を合計した団体戦でも、東京医科歯科大学は、保存の部、総合(保存・補綴の合計)でそれぞれ3位となり、個人戦で好成績を収めた山本真央さんとともに表彰を受けました。参加学生たちは、日ごろ使っているものとは違う不慣れな器具を使うなどアウェイの環境の中、様々な緊張感やプレッシャーをはねのけ、それぞれが実力を発揮しました。 コンテスト終了後には、日台の学生がお互いの健闘を称え合い、学生どうしの交流が行われました。
本コンテストを通じて得られた様々な経験は、参加した学生にとって非常に貴重な財産となったようです。彼らは今後の臨床実習や講義に積極的な姿勢で参加し、同級生たちにもよい影響を与えてくれることでしょう。今回の経験を活かし、将来、国際的な歯科医療人として大いに活躍してほしいと思います。
今回のコンテストにあたり、歯学教育開発学分野の關奈央子助教、2年前に同じく派遣され、現在研修歯科医として頑張っている木村綾君、副田弓夏さん、高田嘉宝さんも、技術指導やアドバイスをしてくれました。現地では、本学大学院う蝕制御学分野を修了後台湾で活躍されている坂野若詠先生、短期海外研究員として同じく同分野に滞在していた国立台湾大学教員の蔡宜玲先生がお世話をしてくれました。今回の好成績は、たくさんの方のあたたかいサポートによるものでもあります。最後に、本コンテスト参加に大変な多くのご支援とご協力をいただきました田上順次副学長、森山啓司歯学部長、荒木孝二副歯学部長、泰羅雅登歯学科教育委員長、歯学教育開発学分野森尾郁子教授に感謝申し上げます。
国立台湾大学歯学部長を表敬訪問する本学代表学生と教員(左から廖婉萱先生、大森哲助教、山本真央さん、
江俊斌国立台湾大学歯学部長、井神優太君、小湊広美さん、林立德副歯学部長、保坂啓一助教)
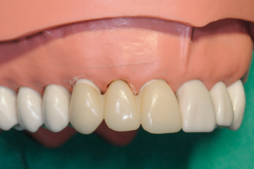
山本真央さんのコンテスト作品
(前歯のコンポジットレジン修復)
小湊広美さんのコンテスト作品
(前歯のテンポラリーブリッジ)
試験を終えた直後の代表学生たち
試験を終えて交流をする日台の学生たち(台北市内にて)
<参加学生たちの感想>
井神優太君
「コンテストでの結果もそうですが、練習で日々自分の技術が向上していくことを実感出来たことが今後の一番の糧になったと思います。素晴らしい環境の中で本番に臨めるよう、指導、支援して頂いた先生方には感謝申し上げます。ありがとうございました。」
小湊広美さん
「先生方には、お忙しい中丁寧にご指導してくださり、また台湾では実力を発揮できるようにたくさん面倒をみていただき、本当にありがとうございました。この大会に出場してとても有意義な時間をすごすことができました。ありがとうございました。」
山本真央さん
「派遣が決まってから1ヶ月間、ご指導本当にありがとうございました。先生方の熱いご指導のもと優勝を目指して頑張りましたが、2位となり悔しいです。先生方にたくさんのテクニックや治療の勘所を教わることができてこのコンペに参加してよかったと思っています」
(文:大学院う蝕制御学分野助教 保坂啓一)
井神優太君
「コンテストでの結果もそうですが、練習で日々自分の技術が向上していくことを実感出来たことが今後の一番の糧になったと思います。素晴らしい環境の中で本番に臨めるよう、指導、支援して頂いた先生方には感謝申し上げます。ありがとうございました。」
小湊広美さん
「先生方には、お忙しい中丁寧にご指導してくださり、また台湾では実力を発揮できるようにたくさん面倒をみていただき、本当にありがとうございました。この大会に出場してとても有意義な時間をすごすことができました。ありがとうございました。」
山本真央さん
「派遣が決まってから1ヶ月間、ご指導本当にありがとうございました。先生方の熱いご指導のもと優勝を目指して頑張りましたが、2位となり悔しいです。先生方にたくさんのテクニックや治療の勘所を教わることができてこのコンペに参加してよかったと思っています」
(文:大学院う蝕制御学分野助教 保坂啓一)
