東京科学大学医学部放射線科
東京医科歯科大学は東京科学大学になりました!
メニュー
コンテンツへスキップ
トップページ
沿革
教授挨拶・診断科
教授挨拶・治療科
スタッフ紹介・診断科
スタッフ紹介・治療科
診療内容・診断科
診療内容・治療科
外照射
小線源:HDR
小線源:早期口腔癌
小線源:シード治療
HB-001
入局希望者へ
新入局者の声
科学大Q&A
関連施設
アクセス
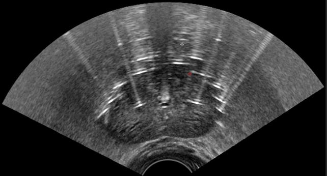
小線源:シード治療
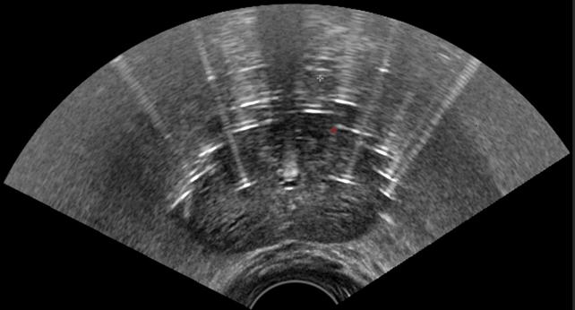
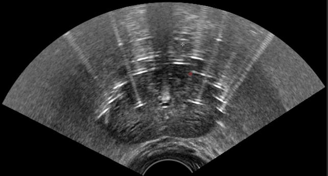
泌尿器科とともに、I-125シードを用いた前立腺癌小線源治療を年20-30例程度行っています。腰椎麻酔下で3泊4日の入院となります。
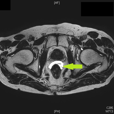
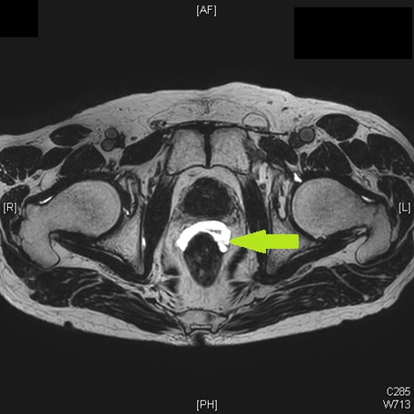
また、2019年からはスペーサーゲル(spaceOARⓇ)も導入して直腸の有害事象の軽減をはかっています。
エコーを用いてシードを留置している様子
前立腺内の線量分布の確認
スペーサゲル
メニュー
コンテンツへスキップ
診療内容・治療科
外照射・・・体外から放射線を照射する治療
小線源:HRD・・・乳癌や婦人科腫瘍の治療
小線源:早期口腔癌の治療
小線源:シード治療・・・前立腺癌の治療
HB-001・・・治験中の治療