外照射

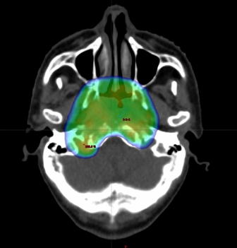
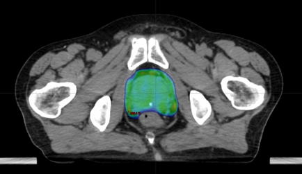
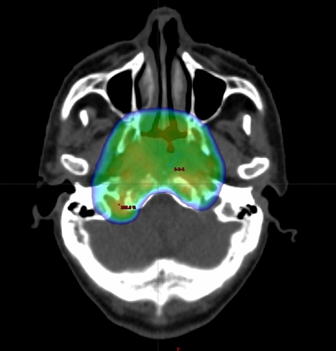
リニアック3台をもちいた外照射をおこなっています。 通常の外照射はもちろん、IMRT(Intensity modulated radiation therapy)・SBRT(stereotactic body radiation Therapy)などの高精度放射線治療を積極的に適用しています。 IMRTに関しては2018年よりVMAT(Volumetric modulation arc therapy)を導入し、頭頸部癌・前立腺癌を中心に多くの症例を治療しています。

治療計画の様子

上咽頭癌に対するVMAT

前立腺癌に対するVMAT

肺癌に対するSBRT